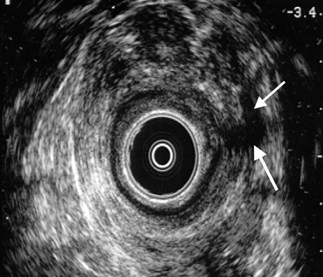
Imagen hipoecogénica a nivel izquierdo, compatible con fístula transesfinteriana en paciente con enfermedad de Crohn (flechas)

 
 
 
v